À Retenir
Les maladies rares de la rétine et du nerf optique, nécessitent une prise en charge spécialisée et un suivi rigoureux pour prévenir les complications et préserver la vision. Si vous êtes atteint de l’une de ces maladies, il est crucial de vous faire suivre par un ophtalmologiste spécialisé pour établir une prise en charge personnalisée et suivre régulièrement l’évolution de la pathologie.
Qu’est-ce qu’une Maladie Rétinienne Rare ?
1. Diagnostic
A Rétinites pigmentaires
Qu’est-ce que c’est ?
Les rétinites pigmentaires (RP) maintenant plutôt appelées les dystrophies rétiniennes de type bâtonnet-cônes ou cônes-bâtonnets, sont un groupe de maladies génétiques héréditaires évolutives qui affectent la rétine, au niveau des photorécepteurs. Elles entraînent une atteinte précoce de la vision périphérique et de la vision nocturne, dans la majorité des cas, mais peuvent aussi toucher dès le début la vision centrale, avec une gène à la lecture ou la reconnaissance des visages et entraîner un éblouissement majeur (photophobie).
Chaque patient aura un profil d’évolution et d’adaptation très différents. Il n’est donc pas possible de donner un pronostic fonctionnel à cette maladie plus ou moins sévère sans un examen approfondi et un suivi au long cours.
Symptômes :
- Difficultés à voir dans l’obscurité (nyctalopie ou héméralopie)
- Éblouissement important (photophobie)
- Perte progressive du champ visuel périphérique, créant une vision tubulaire ou en tunnel.
- Difficulté à s’adapter à la lumière changeante.
- Dans les stades avancés, perte de la vision centrale.
Diagnostic :
- Découverte fortuite lors d’un examen de routine, ou suite à des symptômes visuels décrits par le patient.
- Tableau typique: “pigments” sur la rétine périphérique, avec des vaisseaux amincis et parfois, un oedème maculaire (épaississement de la macula) ou un remaniement maculaire.
- Nécessite des examens du fond d’œil et d’imageries rétiniennes, un électrorétinogramme global (ERG), un champ visuel, un test de la vision des couleurs.
- L’analyse génétique sera faite en parallèle par un généticien pour rechercher la mutation sur l’ADN en cause, et comprendre le mode de transmission.
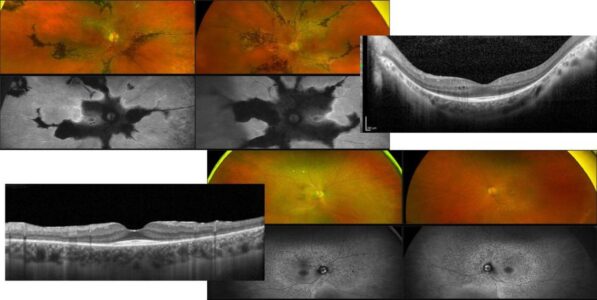
Exemple d’image du fond d’oeil, de cliché en autofluorescence et d’OCT maculaire, que l’on peut trouver chez un patient ayant une rétinite pigmentaire
B Maladie de Stargardt
Qu’est-ce que c’est ? La maladie de Stargardt est une maladie rétinienne congénitale héréditaire, liée à une mutation sur un gène particulier, “ABCA4”. Cette pathologie est assez fréquente dans la population générale malgré le fait que sa transmission est dite “récessive autosomique” avec une prévalence de 1/8000 à 1/10000. Elle est caractérisée par une atteinte de la rétine centrale avec une accumulation de lipofuscine dans les cellules de l’épithélium pigmentaire de la rétine.
Symptômes :
- Peut survenir dès l’âge de 10 ans mais peut également apparaître beaucoup plus tardivement (après 50 ans).
- Baisse de l’acuité visuelle lentement progressive et potentiellement une déformation des lignes droites (métamorphopsies).
- Vision périphérique souvent préservée
Diagnostic :
- Peut être de découverte fortuite lors d’un examen de routine, ou peut être découvert suite à des symptômes visuels décrits par le patient.
- Nécessite des examens du fond d’œil et d’imageries rétiniennes, un électrorétinogramme global (ERG) et une analyse génétique.
- On retrouve généralement d’une lésion maculaire dites en oeil de boeuf et des tâches jaunâtres autour de cette lésion maculaire (flecks ou tâches flavimaculées), et plus ou moins diffuses et nombreuses
- D’autres pathologies héréditaires peuvent ressembler à une maladie de Stargardt, le test de la vision des couleurs, l’ERG et la génétique permettront de faire la différence avec cette pathologie plus fréquente que les autres.
- L’ERG global a un rôle majeur dans l’évaluation du pronostic de la maladie
C Maladie de Best
Qu’est-ce que c’est ? La maladie de Best est une maladie génétique rare qui affecte la macula, partie centrale de la rétine. Sa prévalence est comprise entre 1/5000 et 1/67000 en fonction des régions du monde. Elle est caractérisée par l’accumulation de débris sous la rétine au niveau de l’épithélium pigmentaire, formant une lésion en forme d’œuf plus ou moins fragmenté ou même atrophique. Il y a souvent des formes familiales car la transmission est dite “dominante”. Néanmoins dans une même famille, l’atteinte est très variable et parfois l’atteinte n’est pas connue. Une forme récessive de la maladie est également décrite mais de façon très exceptionnelle. Sa présentation est très différente de la maladie de Best classique, mais la mutation se trouve sur le même gène (BEST 1)
Symptômes :
- Aucun symptome (le plus fréquent)
- baisse de l’acuité visuelle
- photophobie
- déformation des lignes droites ou tâche centrale (scotome)
- Apparition d’une lésion jaunâtre sous la rétine (l’œuf de Best).
- Vision périphérique généralement non affectée.
Diagnostic :
- Découverte fortuite lors d’un examen de routine, ou suite à des symptômes visuels décrits par le patient.
- Nécessite des examens du fond d’œil et d’imageries rétiniennes, un électrorétinogramme global (ERG) et un électro-oculogramme (EOG) ainsi qu’une analyse génétique.
- On retrouve généralement une lésion maculaire ronde jaunâtre, dite “en œuf au plat », qui peut être fragmentée ou atrophique. Cette lésion est généralement unique sauf dans des formes plus rares. Contrairement aux autres maladies génétiques, celle-ci peut être unilatérale ou asymétrique.
- Le risque de néovascularisation existe même chez le jeune enfant, et nécessite donc une surveillance OCT régulière.
- Il existe des formes cousines à la maladie de best, chez l’adulte, d’origine génétique ou non.
2. Prise en charge et suivi des maladies rétiniennes rares ou d’origine génétique.
Suivi régulier :
- Fond d’oeil, analyse OCT et champ visuel
- Pour suivre l’évolution et adapter la prise en charge globale
Aides visuelles :
- Des filtres thérapeutiques sont prescrits très rapidement dans la maladie. Ils permettent d’améliorer la vision des contrastes, de diminuer la photophobie et de protéger la rétine.
- Les autres aides visuelles seront proposées en fonction du stade d’évolution de la maladie et du patient.
- Dans tous les cas, il faudra faire appel à des opticiens spécialisés dit de basse vision”.
Traitements :
- Un traitement, hors protocole d’étude, est pour le moment proposé pour une seule mutation: RPE65, avec des résultats encourageants sur la fonction visuelle dans le temps. C’est un traitement par thérapie génique
- Des protocoles expérimentaux sont proposés dans le cadre d’essais cliniques dans des centres de références.
- Rééducation par des spécialistes de la basse vision: orthoptistes, ergothérateutes, spécialistes en locomotion etc. pourront être nécessaires tout au long du suivi.
Prévention :
- Se protéger du soleil.
- Contre indication du tabac et des sports de combat.
Soutien psychologique :
- La perte de vision peut être difficile à accepter.
- Un soutien psychologique ou une rééducation visuelle peuvent être proposés pour aider à adapter le quotidien à la situation visuelle.
- Pour le patient mais également pour les aidants
Maculopathie aux anti-paludéens de synthèse (Plaquenil et Nivaquine)
Qu’est-ce que c’est ? Les anti -paludéens de synthèse (hydroxychloroquine et chloroquine) sont des médicaments initialement développés pour traiter le paludisme. Ils sont maintenant utilisés pour traiter les maladies auto-immunes comme le lupus ou la polyarthrite rhumatoïde. Bien qu’efficace, peu contraignant en terme de suivi et de risque d’effets indésirables, ce traitement peut provoquer des effets secondaires oculaires rares notamment une maculopathie. Le risque de survenue de cette complication augmente avec le nombre d’années de traitement et la dose cumulée administrée au patient.
Diagnostic :
- Pas de symptôme avant un stade très tardif.
-
Dans les stades les plus sévères de la maladie, les lésions peuvent entrainer une baisse de l’acuité visuelle majeure et irréversible.
- On retrouve précocement des lésions caractéristique en OCT, au champ visuel et à l’ERG multifocal caractéristique. Les lésions plus typiques dites en œil de bœuf, épargnant la zone fovéale, sont retrouvées bien plus tardivement au fond d’oeil et sur les clichés en autofluorescence
- Dès la suspicion de la survenue de lésions compatibles avec la toxicité, il faut envisager d’arrêter le traitement.
Protocole de prise en charge :
- Dépistage régulier : Les patients sous antipaludéen de synthèse doivent passer des examens ophtalmologiques réguliers, dès le début du traitement, puis entre tous les 12 à 18 mois, en fonction de la date de début du traitement et la dose cumulée de plaquenil ou de nivaquine pris par le patient. Le rythme de surveillance est décidé par l’ophtalmologiste.
- En fonction de l’origine ethnique des patients, des atteintes périphériques peuvent être observées. Les modalités de surveillance sont ajustées par l’ophtalmologiste.
Neige Visuelle
Qu’est-ce que c’est ? La neige visuelle est un symptôme visuel méconnu mais sous-estimé. Les patients voient des points blancs ou noirs ressemblant à de la «neige» ou à des interférences télévisuelles (fin de programme de TV, sur les vieilles télévision cathodique en fréquence hertzienne). Ce symptome est souvent associée à d’autres symptômes visuels comme la persistance des images, la vision des vaisseaux de la rétine quand on regarde un beau ciel bleu ou un fond blanc.
Symptômes :
- Points scintillants ou neigeux constants dans le champ visuel.
- Sensibilité accrue à la lumière, non systématique.
- Vision des images après avoir fermé les yeux (phosphènes).
- Persistance rétiniennes: l’image persiste (en comète) après avoir détourné le regard
- Apparaît souvent dans des moment de stress majeur ou chez des gens spécialement angoissés et/ou très studieux.
- En cas de prise de drogues lors de l’apparition des symptômes, il faudra envisager un autre diagnostic
- En cas d’hallucination visuelle associée, il faudra envisager un autre diagnostic
Prise en charge personnalisée
- Diagnostic : Le diagnostic est clinique, souvent basé sur l’exclusion d’autres pathologies. Des examens complémentaires, tels qu’un fond d’œil, un OCT, un champ visuel, et un test de la vision des couleurs peuvent être réalisés pour écarter d’autres maladies. Un long interrogatoire est également nécessaire pour ne pas le confondre avec une maladie psychiatrique avec des hallucinations. La prise en charge est alors complètement différente.
- Gestion des symptômes : Il n’existe pas de traitement curatif pour la neige visuelle. La gestion repose sur la gestion du stress, de l’éblouissement. Parfois des médicaments peuvent être essayés, mais aucune étude scientifique n’a été réalisée pour évaluer leur effet. Les symptômes peuvent s’atténuer dans le temps après une bonne gestion du stress.
- Support psychologique : En raison de la nature chronique et parfois invalidante de la neige visuelle, un soutien psychologique (EMDR, hypnose, TCC…) est souvent bénéfique pour aider les patients à gérer les symptômes au quotidien.
Certaines maladies rétiniennes rares peuvent être de diagnostic plus compliqué car moins souvent, moins fréquentes et donc moins décrites.
Vous trouverez des informations supplémentaires et des adresses de spécialistes dans toute la France.
Société francophone de Basse Vision : https://www.ariba-vision.org/
Association de Réadaptation et de Réinsertion pour l’Autonomie des Déficients Visuels https://www.arradv.fr/ avec le n° vert de la basse vision.
Numero vert: 0800 013 010
N’hésitez pas à contacter notre secrétariat si vous souhaitez un rdv pour une maladie rétinienne rare ou si votre médecin souhaite réaliser un bilan dans le cadre de la suspicion d’une maladie, afin que l’on puisse prévoir au mieux l’ensemble des examens nécessaire (contact@centreodeon.com)

